Caso clinico: sintomi neurologici e depressione

Una ragazza di 14 anni arriva in Pronto Soccorso con diplopia, andatura instabile e depressione. In che misura la depressione è rilevante nel contesto dei sintomi neurologici acuti che hanno motivato l’accesso in Pronto Soccorso?

Anamnesi

La quattordicenne E. S. si presenta in Pronto Soccorso, accompagnata dai genitori, e riferisce diplopia e andatura instabile presenti da due giorni. Il medico ha notato che la ragazza sembrava particolarmente depressa e ha chiesto alla madre maggiori informazioni. La madre ha riferito, visibilmente preoccupata, che la figlia soffriva di uno stato depressivo da diversi mesi e che un anno prima aveva persino manifestato pensieri suicidi. In risposta, la famiglia era partita per una vacanza, che aveva migliorato l'umore della paziente nel breve periodo. Tuttavia, il suo rendimento scolastico è andato peggiorando, motivo per cui la famiglia sta valutando la possibilità di richiedere una consulenza psicologica.

Esame clinico

Ragazza di 14 anni in condizioni generali stabili, francamente obesa. Colore della pelle roseo, microcircolo non alterato, buon turgore cutaneo, nessun esantema o segno di sanguinamento. Diplopia binoculare, posizione eretta e deambulazione anomala evidente, andatura un po' ampia. Test dito-naso-dito non significativo. Nessun meningismo.

Diagnostica di laboratorio e del liquido cerebrospinale

  • Proteina C-reattiva 8 mg/L
  • Leucociti: 7,28 x 109/L
  • Altri esami di routine: aspecifici
  • Liquido cerebrospinale: ipercellularità di basso grado

Imaging

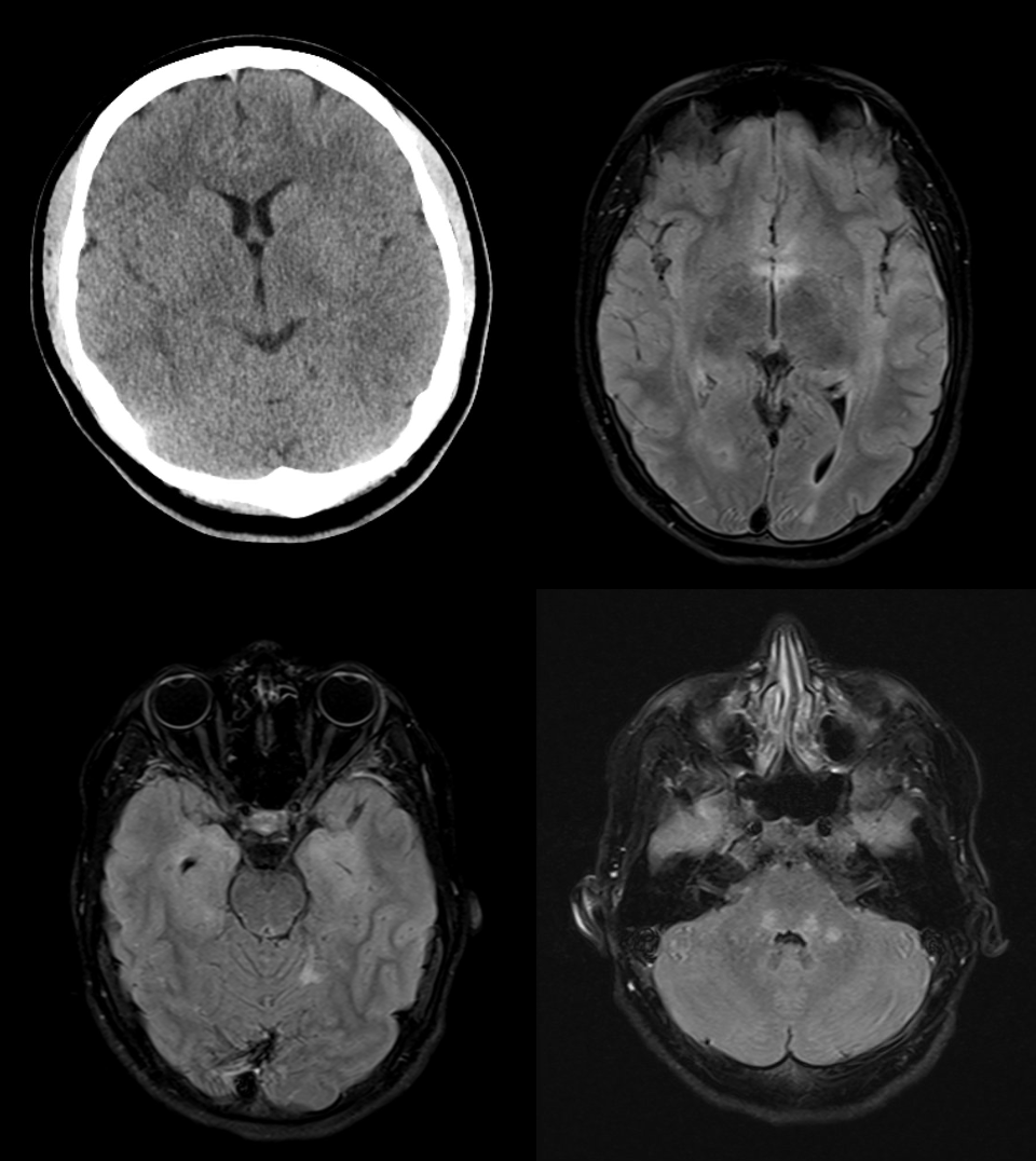
La TC eseguita in urgenza è stata utilizzata per escludere una patologia acuta come un'emorragia o un infarto. Successivamente è stata eseguita una risonanza magnetica (figura 1).

rmi-nmdar_1.png
Figura 1

Qual è la diagnosi sospetta?

  1. Meningite streptococcica
  2. Sclerosi multipla
  3. Encefalite da anticorpi anti-NMDA-R
  4. Malattia di Creutzfeldt-Jakob

Facci sapere nei commenti quale pensi sia l'opzione corretta.

Se vuoi conoscere la diagnosi, clicca sul box qui sotto. Se non sei registrato, registrati subito! I servizi di esanum riservati ai medici sono gratuiti.
Se hai un caso clinico da proporre ai Colleghi, scrivici alla mail articoli@esanum.it.
Aiutaci a far crescere le conoscenze della community!

Qui trovi la soluzione del caso clinico

Esito della risonanza magnetica

La risonanza magnetica ha mostrato una marcata iperintensità T2 nel midollo allungato, meno nel tegmento pontino, nel midollo cerebellare destro, nel midollo sottocorticale del corno posteriore sinistro, nel midollo insulare/temporale destro, intorno alle corna temporali, nel cingolo posteriore destro e frontalmente su entrambi i lati. I risultati dell’esame sono compatibili con un'encefalite limbica.

Decorso e terapia

Dopo la diagnosi iniziale, la paziente è stata ricoverata nel reparto di neurologia per ulteriori accertamenti. Al momento dell’ingresso in reparto sono stati riscontrati movimenti saccadici, diplopia binoculare, disturbi della deambulazione.
È stata somministrata una terapia d'urto con metilprednisolone per un periodo di 5 giorni. Questo trattamento ha portato a un leggero miglioramento dei sintomi. In particolare sono migliorati i movimenti saccadici e i disturbi dell’andatura. Tuttavia, continuavano a verificarsi gravi anomalie comportamentali, come disturbi relazionali, paure improvvise e inspiegabili,  comportamenti infantili.
Dopo aver rilevato anticorpi positivi per il recettore NMDA nel liquido cerebrospinale, la paziente è stata sottoposta a 7 cicli di aferesi terapeutica per la terapia di immunoassorbimento.
Successivamente, la paziente ha manifestato febbre e le è stata diagnosticata una polmonite. Dopo il trattamento antibiotico, le condizioni generali della paziente sono migliorate.
Durante l'intervallo libero da infezioni, è stata iniziata una terapia immunomodulante prolungata con rituximab, in conformità alle linee guida. Questa è stata proseguita ogni sei settimane per due anni. I sintomi psicologici e neurologici sono gradualmente migliorati.

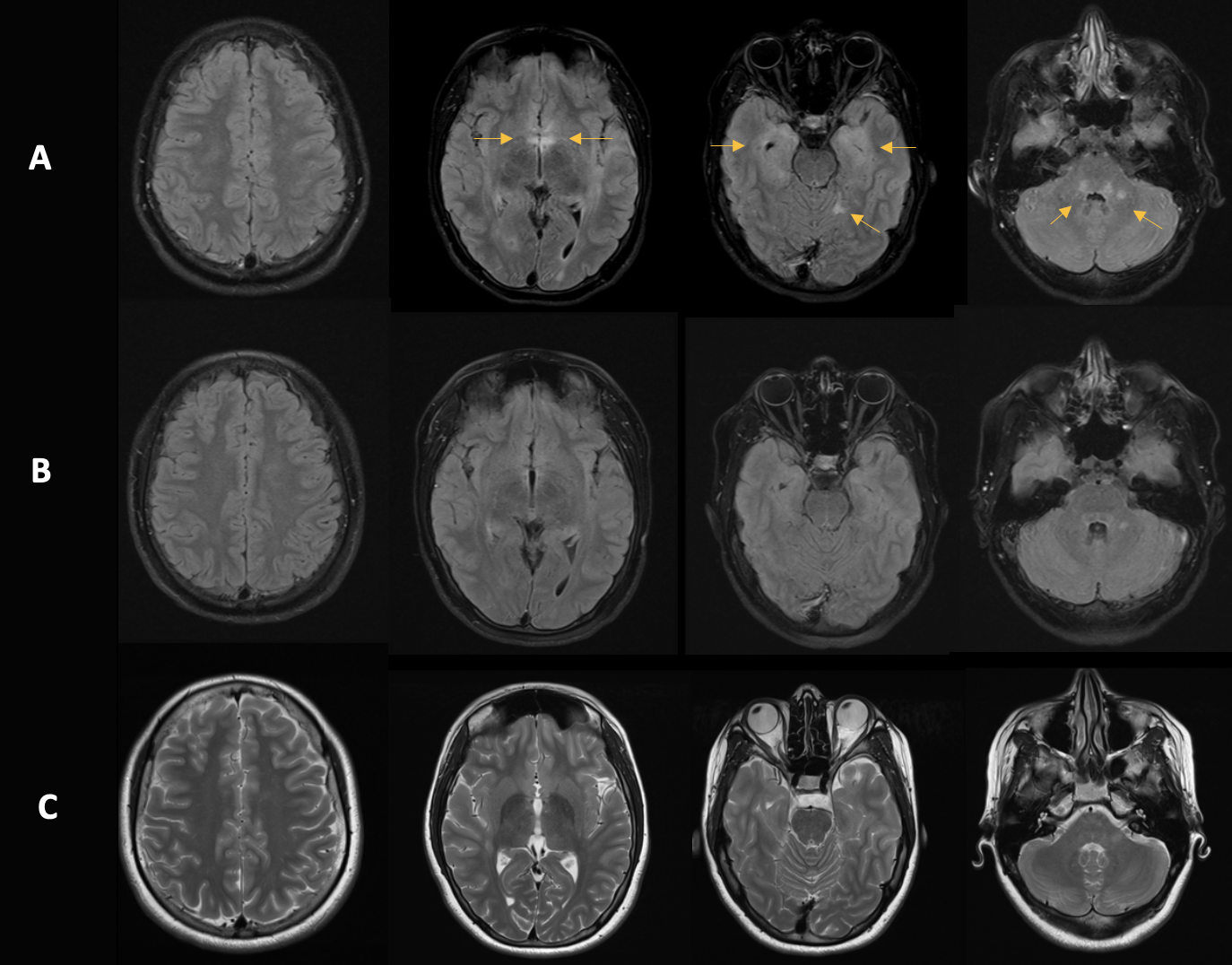
rmi-nmdar_2.png

Figura 2: Follow-up mediante risonanza magnetica. A: Imaging iniziale. B: Follow-up dopo 10 mesi. C: Follow-up dopo due anni. Si osserva una chiara riduzione delle iperintensità T2w nel tempo, che si correla con il miglioramento clinico.

Encefalite da anticorpi anti-NMDA-R, una malattia rara e pericolosa del SNC

L'encefalite da anticorpi anti recettori N-metil-D-aspartato (NMDA-R) è una malattia autoimmune caratterizzata dalla formazione di anticorpi contro i recettori NMDA nel cervello. Questi recettori sono componenti essenziali della trasmissione sinaptica e svolgono un ruolo centrale nelle funzioni cognitive, nell'apprendimento e nella memoria.
La malattia è stata descritta per la prima volta nel 2007 e da allora è stata acquisita una crescente comprensione dei suoi aspetti clinici e fisiopatologici. La maggior parte dei pazienti sono giovani donne e in molti casi la malattia può essere associata a un teratoma ovarico, un tumore che spesso esprime i recettori NMDA. Tuttavia, la malattia può colpire persone di tutte le età e di tutti i sessi e può manifestarsi anche senza un tumore rilevabile.
Clinicamente, l'encefalite da anticorpi anti-NMDA-R si manifesta spesso con un prodromo virale aspecifico, seguito da sintomi psichiatrici come allucinazioni, agitazione e comportamento paranoico. Questa fase può essere seguita da sintomi neurologici, tra cui alterazione della coscienza, disturbi del movimento e convulsioni. La progressione della malattia senza trattamento può portare allo stato epilettico o al coma.
La diagnosi si basa sul rilevamento di anticorpi anti-recettore NMDA nel siero o nel liquido cerebrospinale ed è supportata da sintomi clinici e risultati di imaging. La diagnosi e il trattamento precoci sono fondamentali per il decorso e l'esito clinico.
La terapia dell'encefalite NMDA si concentra sull'immunosoppressione per ridurre la produzione di anticorpi e controllare l'infiammazione. La terapia di prima linea comprende spesso corticosteroidi, immunoglobuline per via endovenosa e plasmaferesi. In caso di risposta insufficiente, recidiva o presenza di un tumore, può essere necessaria una terapia più aggressiva con immunomodulatori come il rituximab.

Take home message

Poiché l'encefalite da anticorpi anti-NMDA-R è solitamente accompagnata da sintomi psicologici, spesso non viene presa sul serio dai non addetti ai lavori. Se oltre all'umore depresso vengono rilevate anomalie comportamentali, i Colleghi dovrebbero prendere in considerazione la possibilità di escludere una causa organica cerebrale per i sintomi mentali utilizzando la risonanza magnetica.