Diagnosi rare e sintomi comuni

Nausea, difficoltà a deglutire, mal di testa, acufeni, gonfiori: in rari casi, questi sintomi generali possono nascondere qualcosa di più grave. A volte questo diventa evidente solo nel corso di un esame radiologico.

Articolo tradotto dall'originale in tedesco

Segnali di allarme radiologici nelle malattie rare

Difficoltà di deglutizione

Le difficoltà di deglutizione sono relativamente comuni in età avanzata. Possono essere autolimitanti, ma possono anche durare a lungo. Se i sintomi persistono a lungo, è necessario eseguire una gastroscopia. Se questa non rivela nulla, può essere utile anche un test della deglutizione. Il paziente di 65 anni (vedi illustrazione), ad esempio, presenta un reperto raro: un diverticolo di Zenker.

image1.png

Figura 1: Ipofaringo-esofagografia con mezzo di contrasto contenente bario in vista sagittale e coronale. Si nota una protrusione dorsale della parete esofagea posteriore a livello di C5-C6.

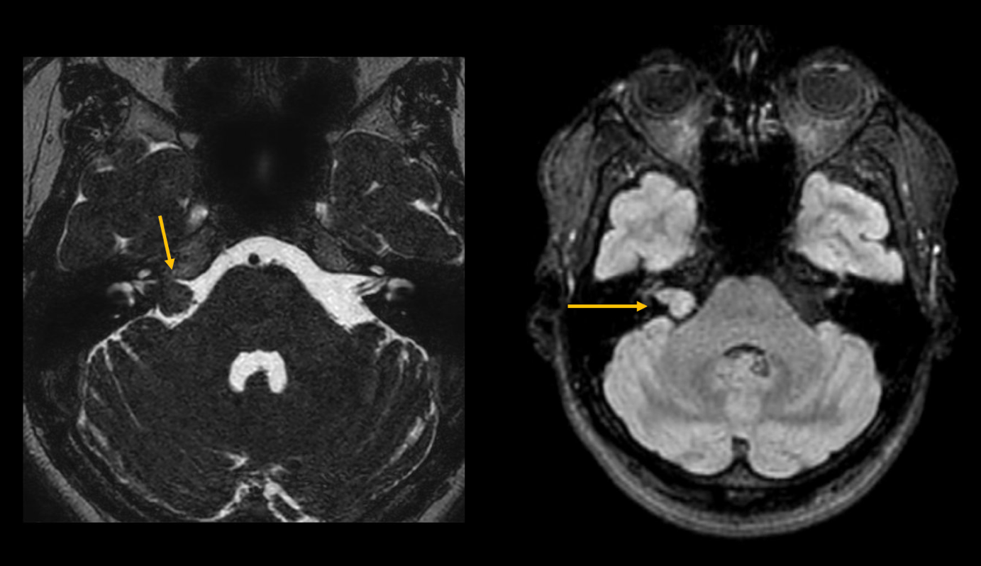
L'acufene

L'acufene non è inizialmente una malattia a sé stante, ma un sintomo di vari disturbi. All'inizio, spesso sono presenti danni e malattie nell'orecchio stesso, ad esempio a causa di un'infiammazione o di una forte esposizione al rumore. Se i sintomi peggiorano, è consigliabile sottoporsi a una risonanza magnetica (RM). A una paziente di 47 anni (vedi foto) è stato diagnosticato un neurinoma acustico sul lato destro, con conseguente perdita dell'udito.

image2.png

Figura 2: RM della fossa posteriore con ponderazione T2 e T1. Mostra una massa isointensa in T2-W nel meato acustico interno, coerente con un neurinoma acustico.

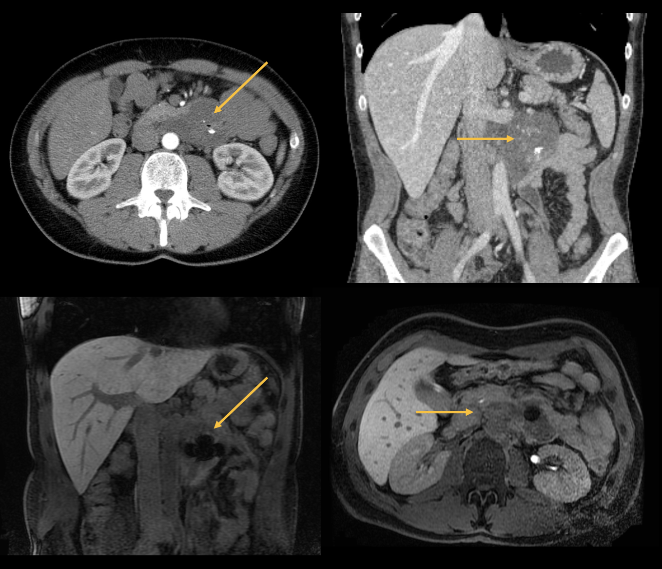
Nausea/vomito

I pazienti con nausea e vomito persistenti dovrebbero sempre essere esaminati radiologicamente se i sintomi persistono per più di due settimane e la causa non è chiara, perché potrebbe essere presente una malattia rara. Il signor H. lamentava disturbi aspecifici come gonfiore, dolore addominale, nausea e anemia. La diagnostica per immagini (vedi foto) ha rivelato un tumore stromale gastrointestinale (GIST). Il GIST è un tumore semi-maligno del tratto gastrointestinale (in particolare dello stomaco e dell'intestino tenue), che può dare metastasi ma è solitamente associato a una buona prognosi. Il tumore si manifesta di solito nella mezza età (40-60 anni) e viene trattato chirurgicamente. In caso di metastasi, viene somministrata un'immunoterapia adiuvante con un inibitore della protein-chinasi.

image5.png

Figura 3: Immagini TC e RM assiali e coronali. GIST che origina dalla pars horizontalis duodeni, ventralmente alla vena renale sinistra e adiacente alla coda pancreatica. Artefatti di suscettibilità centrali con inclusioni aeree e calcificazioni.

Mal di testa

Il mal di testa è una delle sindromi dolorose più comuni con cui i medici si confrontano nella pratica clinica quotidiana. Si distingue tra cefalea primaria (ad esempio, emicrania) e secondaria (ad esempio, dopo un trauma cranio-cerebrale o causata da infezioni). Le immagini seguenti mostrano un paziente ricoverato in ospedale con una forte cefalea e nausea. La risonanza magnetica e l'angiografia mostrano una malformazione arterovenosa (MAV). Una MAV è una malformazione vascolare congenita con connessioni shunt (nidus) tra arterie e vene cerebrali senza un letto capillare intermedio. Le malformazioni artero-venose possono rimanere asintomatiche per tutta la vita. Tuttavia, spesso si manifestano con cefalee tra i 20 e i 40 anni. Le emorragie intracraniche si verificano in circa il 50-60% dei pazienti, le crisi epilettiche e i deficit neurologici focali in circa il 25% delle persone colpite. La terapia classica è la resezione chirurgica, anche se il trattamento endovascolare è sempre più utilizzato.

image4.png

Figura 4: Immagini di risonanza magnetica assiale e coronale e angiografia a sottrazione digitale che mostrano le connessioni dello shunt tra arterie e vene. Il nidus è contrassegnato dai pilastri.

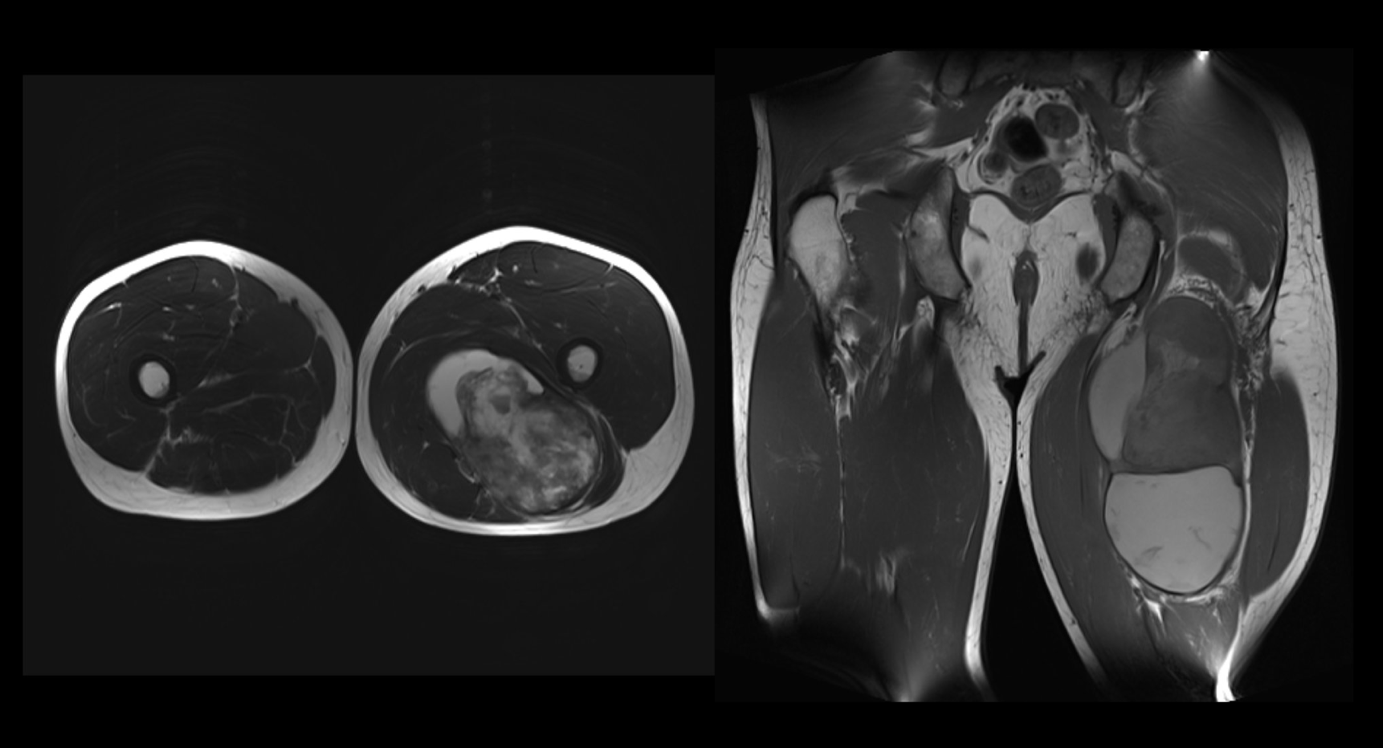
Gonfiore muscolare

Non è raro che si verifichi un gonfiore muscolare nella parte superiore o inferiore della gamba a causa di una trombosi venosa profonda (TVP). Queste vengono sempre escluse per prime. Se la TVP non è confermata, è necessario ordinare una diagnostica per immagini per escludere altre cause. Nel caso del signor K., la risonanza magnetica ha mostrato una massa che aveva origine nel muscolo della coscia sinistra, che si è rivelata essere un sarcoma. I sarcomi sono tumori maligni e altamente aggressivi di origine mesenchimale. I sarcomi sono molto più rari dei carcinomi. Costituiscono circa l'1% delle neoplasie maligne, ma possono metastatizzare e avere un decorso letale. La terapia primaria in questo caso sarebbe la resezione totale. Se il femore è colpito, si dovrà prendere in considerazione l'amputazione dell'arto.

image3.png

Figura 5: Immagini RM assiali e coronali delle cosce su entrambi i lati. Questa mostra una massa eterogenea, cistica e in parte solida, che origina dal muscolo bicipite femorale caput brevis a sinistra.


Il Journal Club di esanum.it è un programma online di aggiornamento e discussione scientifica permanente. Se hai letto un articolo della letteratura particolarmente interessante, se hai gestito un caso clinico rilevante, se hai scritto una tesi di laurea o di specialità e vuoi condividerne i risultati, se hai metodologie o protocolli da esporre, manda il tuo materiale alla mail: articoli@esanum.it