La migliore morte cui abbia mai assistito

Il Dr. David Juurlink, medico internista di Toronto, affida a Twitter le sue riflessioni su un caso clinico che lo ha emotivamente colpito. Racconta la storia di una ottantenne ricoverata per sepsi che, di fronte alla prospettiva di tornare a casa con una grave riduzione della propria autonomia, ha preferito ricorrere all’eutanasia.

Un caso clinico raccontato su Twitter a proposito di eutanasia e qualità della vita

Il Dr. David Juurlink, medico internista presso il Sunnybrook Health Sciences Centre di Toronto, affida a Twitter le sue riflessioni su un caso clinico che lo ha emotivamente colpito. Racconta la storia di una ottantenne ricoverata per sepsi che, di fronte alla prospettiva di tornare a casa con una grave riduzione della propria autonomia, ha preferito ricorrere all’eutanasia. Riportiamo la traduzione dei 21 tweet dell’account @DavidJuurlink

juurkink_03.jpg

Vorrei condividere alcune riflessioni sulla morte di una paziente. Ho pensato molto a lei. Mi ha dato il consenso esplicito a condividere su Twitter i dettagli del suo caso, circa quattro ore prima di morire. La sua speranza era che qualcuno potesse trarre beneficio dalla sua esperienza.

Lei si presentò in ospedale nelle condizioni in cui versano tanti ottantenni. Era debole, reduce da diverse cadute, mangiava e beveva poco, aveva febbre ed era ipotesa. I globuli bianchi erano arrivati a 17.000/mm3. Le colture mostravano una crescita di E. coli. Sepsi. Abbastanza curabile.

Ma si lamentava anche per un dolore all’inguine e alla coscia. Era nuovo, progressivo e debilitante. Anche muoversi nel suo letto di ospedale la faceva star male.

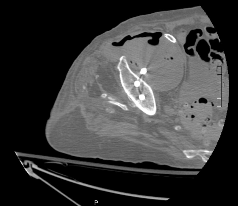
Un mese prima le avevano trovato un grande pseudoaneurisma all’altezza dell'arteria iliaca esterna. Sì, quella che si vede nell’immagine è una vite di una precedente sostituzione dell'anca che lo attraversa. Dopo uno stenting era tornata a casa.

juurkink_02.jpg

Poiché era settica e dolorante, facemmo una nuova TC. La nuova TC mostrava una ampia formazione di gas all'interno dello pseudoaneurisma. Un’infezione, che rappresentava un gigantesco problema.

juurkink_01.png

Continuammo con gli antibiotici. Migliorò. Avevamo il suo dolore sotto controllo con idromorfone e vari altri farmaci. Ma poi arrivò la grande domanda: "E adesso cosa facciamo?".

Non voleva andare di nuovo in sala operatoria. La sua mente era ora lucida, e lei era ferma in questa decisione. Ma gli antibiotici da soli non avrebbero guarito l’infezione, l’avrebbero solo contenuta. In quella situazione, le suggerimmo l’opzione migliore, assumere antibiotici per tutta la vita.

Discutemmo questa opzione a lungo. Lei non voleva nemmeno questa. Lei spiegò perché. Il dolore era il motivo. Le medicine la aiutavano un po’, a patto che non si muovesse molto. Le nostre opzioni terapeutiche erano limitate e certamente il dolore sarebbe stato un problema persistente.

La sua preoccupazione ancora maggiore, guardando avanti, era la qualità della vita. Nei mesi successivi avrebbe perso la sua mobilità e la sua autonomia. Non sarebbe mai tornata alla situazione precedente l’infezione, e lei lo sapeva.

Lei si vedeva confinata nel suo appartamento, dolorante, alle prese col suo deambulatore. Niente più passeggiate fuori. Nessun giretto al supermercato. Nessuna partita di bridge a casa di amici, come aveva fatto per anni. Non era interessata a vivere così.

Discutemmo di cure palliative. Interrompere gli antibiotici, aumentare i suoi antidolorifici, e curarla mentre l’infezione avrebbe fatto il suo corso. La sua famiglia avrebbe potuto assisterla per tutto il tempo necessario. Non era interessata a morire così.

Sapeva che si stava avvicinando alla fine della sua vita. Quello che voleva, lei ci disse, era morire in serenità, con la mente ancora lucida, la sua famiglia e gli amici presenti. Ci chiedeva l’eutanasia [in Canada esiste la procedura MAiD, Medical Assistance in Dying: clicca qui per saperne di più].

Organizzammo una riunione di famiglia. I parenti arrivarono da vicino e da lontano. Erano incondizionatamente favorevoli. Come scoprimmo, la paziente aveva già discusso la possibilità di ricorrere alla MAiD in passato, più volte. Quindi questo divenne il piano.

La visitai ogni giorno. Cercai di gestire al meglio il suo dolore. Ascoltai le sue storie. Imparai a conoscere i membri della famiglia che erano già morti, e la cui morte aveva influenzato la sua decisione. Non ci fu mai un ripensamento. Mi affezionai molto a lei, soprattutto alla sua ironia e ai suoi occhi chiari da cui trasparivano fermezza e decisione.

Dopo il periodo di attesa richiesto e le valutazioni mediche, il giorno arrivò. La visitai alle 7:30 quella mattina. Era sola, ma di buon umore. Mangiava Cheerios e toast dal suo vassoio. Un po’ mi dispiace che questo sia stato il suo ultimo pasto, vorrei averle portato un bagel fresco con salmone.

Poche ore dopo la sua camera era piena di parenti e amici. Era letteralmente una festa. Si parlava, si rideva, si beveva cognac in bicchieri di carta. L'atmosfera non era proprio quella di un funerale. Si riunirono intorno al suo letto. Feci una foto di gruppo. Tutti sorridevano.

Fui presente mentre un collega esaminava i documenti per l’ultima volta, mentre lei confermava la sua volontà, mentre le veniva spiegato cosa sarebbe successo, mentre rispondeva a tutte le domande. "Okay, sono pronta", disse. La sua compostezza era notevole. "Addio a tutti. Grazie di tutto. Vi amo tutti".

Le somministrammo midazolam e si addormentò pacificamente, mentre i suoi figli le tenevano le mani e le accarezzavano la testa. Poi le dammo il propofol, un anestetico Poi rocuronio, un miorilassante. Infine, cloruro di potassio, per fermare il suo cuore. Cinque minuti dopo aver salutato, era morta.

C'erano lacrime, naturalmente. Ma l'atmosfera nella stanza era intrisa di serenità e gratitudine, della consapevolezza di aver fatto la cosa giusta.

Non sono un esperto di eutanasia e capisco che alcune persone vi si oppongano per vari motivi. Ma sono medico da 25 anni e ho visto abbastanza morti per distinguere una buona morte da una cattiva morte. Questa è stata, senza esagerare, la migliore morte a cui abbia mai assistito.

Moriremo tutti alla fine. Questa paziente mi ha aiutato a capire che quando arriverà il mio momento, sarò fortunato se avrò come opzione l’eutanasia. E sarò sempre grato a lei, alla sua famiglia e a un mio collega molto qualificato per avermi aiutato ad apprezzare quanto possa essere buona una "buona morte".


Fonte: Account Twitter del Dr. David Juurlink